気になる銀歯、白い歯に交換しませんか
足立区北千住の歯医者「アライ歯科医院」では一般歯科治療に加えて、歯を美しく見せるための審美歯科治療も行っています。美しい口元はあなたの印象を大きく変化させます。銀歯や、歯の着色汚れなどでお悩みの方はぜひ当院までお気軽にお問い合わせください。
銀歯をセラミックに~審美歯科~

審美歯科治療に用いられる代表的な素材として、セラミックがあります。セラミックは天然歯の色や透明感を再現できるので、お口の中でも目立つことがありません。銀歯による口元のコンプレックスを感じている方は、セラミックに交換するだけで笑顔に自信を取り戻すことができます。
銀歯の危険性

治療後の歯はずっと付き合っていくものです。長期的に考えたときに、長持ちしてトラブルになりにくい素材を使用することが大切です。銀歯などの金属を使用した治療は、健康保険がきくので比較的安価で治療を受けられますが、一方でさまざまなデメリットもあります。そのため、当院ではご希望の方や金属アレルギーをお持ちに方には金属を使用しないメタルフリー治療を推奨しています。
| 見た目が不自然 | アレルギーのリスクがある | 歯茎が黒ずむ |
|---|---|---|
| 銀歯は白い歯の中ではどうしても目立ってしまいます。 | 銀歯を長年使用していると、銀イオンが溶けだします。イオン化した金属が徐々に体内に取り込まれてしまうと、金属アレルギーを引き起こすリスクがあります。 | 金属がイオン化して溶けだすと、歯ぐきを黒く変色させる可能性があります。 |
取り扱い素材
キャスタブルセラミック

キャスタブルセラミックはセラミックの一種で、主に「インレー(詰め物)」に使われます。セラミックの中でもっとも強度が高く、本物の歯のような美しい透明感があります。金属を使用していないので、アレルギーを引き起こす心配もありません。
メタルボンド

内側は金属のクラウン、外側はセラミックを焼きつけているので、強度が高く耐久性に優れています。変色しないので、審美性にも優れた素材です。
ハイブリッドレジン

歯科用強化型プラスチックのレジンを使用した素材で、クラウンによく使用されます。適度な弾力があるので噛み合う歯を傷つけません。内面には金属のフレームを使用します。審美性に優れていますが、耐久性はセラミックに比べると劣り、少しずつ変色が認められます。
オールセラミック(ジルコニア)

高温で溶かしたセラミックを型に流し込んでつくる、クラウンの素材です。変色の心配がなく白さを維持することができます。身体に優しい素材なので金属アレルギーの心配もありません。見た目が天然歯に最も近く主に前歯に最適です。内面のフレームにジルコニア、外側にセラミックと2種類のセラミックを使用しています。
料金表
(税込)
| ゴールド 20K |
ハイブリッド | セラミック | メタルボンド | ジルコニア | ||
|---|---|---|---|---|---|---|
| 詰め物 | 小 Inlay | 44,000円 | 33,000円 | 44,000円 | ||
| 大 Onlay | 55,000円 | 44,000円 | 55,000円 | |||
| かぶせ物 | 77,000円 | 66,000円 | 99,000円 | 132,000円 | ||
※1本あたりの価格となります。
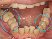
審美歯科症例紹介
下顎セラミック

右下4、5番(メタルボンドクラウン)
左下4、5、6番(メタルボンドクラウン)
上顎セラミック

左上6、7番(オールセラミッククラウン)
上顎セラミック

右下4番(ジルコニアクラウン)
右下5番(セラミックインレー)
美しい白さを取り戻す~ホワイトニング~

歯の着色汚れは年々増していくものです。歯が黄ばんでいると、人前で笑うことや食事をすることに抵抗があり悩んでいる方はとても多くいらっしゃいます。
アライ歯科医院では、そんな歯の着色汚れや黄ばみを白く美しい歯にするホワイトニングをおすすめしています。ホワイトニングは、歯を削ったり傷つけたりすることなく、専用の薬剤を使って白くする施術です。最近では若い方だけでなく、女性を中心にシニア層の方のホワイトニングも増えています。黄ばんだ歯にお悩みの方は、お気軽にお問い合わせください。
ホームホワイトニング

オフィスホワイトニングに比べて効果が表れるのに時間がかかりますが、白さが長持ちしやすいのがメリットです。歯科医院でホームホワイトニングの指導を受け、ご自宅でマウスピースを使用し行っていただきます。だいたいの方が約30日で効果を実感していただけています。
(税込)
| ホワイトニング料金表 | |
|---|---|
| 片顎 (上または下顎のみ) |
33,000円 |
| 両顎(上下) | 55,000円 |
ホワイトコートについて

ホワイトコートとは、安全なプラスチック材を歯の表面に塗ることでお好みの白さにできる、デンタルコスメのひとつです。簡単に言うと「歯に塗るマニキュア」です。個人差がありますが、通常1ヶ月程度は効果が続きます。手軽なので、お化粧感覚で行っていただけます。
ホワイトコートの流れ
- 1 歯の検診を行い、ホワイトコート施術が行える状態かを確認します。
- 2 歯石の除去・虫歯がある場合は治療を行います。
- 3 歯のクリーニングを行い、ホワイトコートの準備をします。
- 4 ホワイトコートの施術をし、完了です。
施術完了までに数回に分けてご来院いただきます。約1ヶ月ほど掛かる為、ご予約はお早めにお願い致します。
(税込)
| ホワイトコート料金 | |
|---|---|
| 1本 | 2,200円 |











